
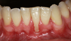
Malocclusion, or having a crowded or misaligned teeth, can cause a variety of oral health problems. In addition to affecting your smile’s appearance, it can also make your teeth difficult to brush, create speech articulation issues, and even cause tooth sensitivity if not addressed. Here’s a closer look at how.
(more…)



