Thick and tight band of tissue under the tongue restricts patient's tongue movement. Laser used to release the tie. First photo- before, second-right after the procedure (minimal bleeding with the laser) and third -2 months after
How can you know whether you’ve found a high-quality dental office? You can look at examples of their past work. Our experienced, skilled team has helped many, many patients over the years, but here are some of our favorite success stories. Take a look at what we’ve done to improve our patients’ smiles, and then imagine what we could do for you! Are you ready to get started on your own success story? Contact us to schedule an appointment today!
Thick and tight band of tissue under the tongue restricts patient's tongue movement. Laser used to release the tie. First photo- before, second-right after the procedure (minimal bleeding with the laser) and third -2 months after
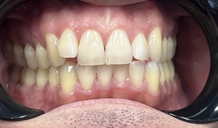
Invisalign short treatment, start to finish: 6 months. Note how the treatment created a broader smile and eliminated black buccal corridors, which are the dark spaces between the teeth and the corners of the mouth.
"I have not be able to smile like that since I was 10"
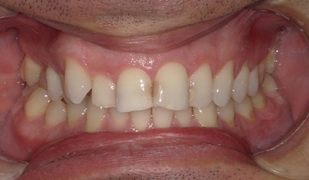
Pt broke his upper front tooth when he was 10 and for the next 20 years had it repaired many many times. He has been from office to office only to be told that one single crown can't match the rest of the teeth.
We fabricated single all porcelain crown from lithium disilicate/ e.max that matched the rest of the teeth.
This patient had severe crowding due to very small arches. We expanded the arches first, created enough room and able to align all of the teeth without removing any permanent teeth.
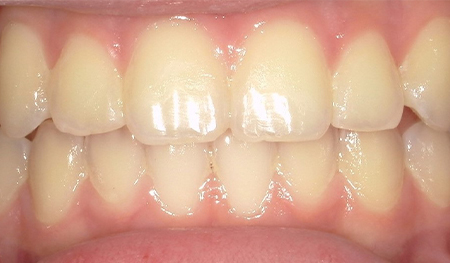
Patient did not want to make a significant difference in her look but improve the appearance of her teeth and make the smile brighter. We replaced her top 8 teeth with a combination of crowns and veneers without dramatically changing the color, keeping a very natural look.
Patient suffers from buccal abfractions: Deep grooves at the gum line most likely due to grinding and clenching teeth. We did a very simple, short in time and unexpansive bonding procedure replacing the missing tooth structure.
The patient fractured his top canine due to grinding excessively. Unfortunately, the fracture was big and deep and the tooth could not be saved. In the missing tooth area, a single implant with a strong Zirconia crown was placed.
Upper right molar has been missing for few years; as a result, the opposing tooth erupted longer and the back tooth moved forward. The missing tooth has been restored with an implant and a Zirconia crown. The implant not only restored the function and esthetic but allowed the patient to preserve (not shave) the adjacent teeth.
The Patient was missing one central tooth on the top. As a result, the teeth shifted and gaps were created. The upper jaw was underdeveloped and the lower moved forward. We rebuilt the upper teeth, creating symmetry and proper shape, as well as pushed them slightly forward to meet the lower teeth in good relation and the patient can finally bite correctly with her front teeth.
The patient grinds his teeth at night as a result fractured and worn down the tooth, which was replaced with a metal-free dental crown, made from strong Zirconia to resist the grinding force.
The patient has multiple amalgam fillings but don’t necessary wants to replace them unless something is broken. One of them has visible crack, which we are able to see even better once we removed the silver filling. It is not unusual to see deep cracks around the amalgam because amalgam has the properties of the metal: expands when we drink hot and contracts when is cold. That creates fractures in the natural tooth that over time get deep and need to be reinforced with full coverage of the tooth.
Patient arrived in the office in April 2020 at the time of the worst pandemic situation when most of the dental offices were closed. Patient was swollen in a lot of pain. The infection spread to the main mandibular nerve causing numbness of the lower lip on the same side. On the x-rays we saw that the root has split in two halves and pus accumulated around. Extraction (removing the tooth) was done the same day to avoid permanent damage of the lower nerve. Few months later patient had bone graft and implant placed. After complete implant integration, the tooth was restore with a strong Zirconia crown, matching the surrounding teeth.
Missing tooth replaced with a single implant and strong Zirconia crown. Shade of the crown made lighter than the natural teeth to allow patient to bleach the rest of the teeth. Zirconia does not respond to bleaching.
Patient completed the treatment with Invisalign clear aligners for 18 months.
Implant placement lower premolar. Patient lost the tooth due to fracture.